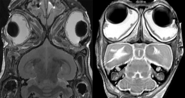
La position des yeux a-t-elle une influence sur l’agilité lors de la course ?

Non, répondent des chercheurs de l’université de Liverpool après avoir étudié, notamment par IRM, 51 espèces de mammifères (à gauche, un lapin, à droite, un chat). D’après leurs résultats, le cerveau des mammifères peut faire face à toutes les sollicitations survenant lors de la course, quel que soit l’endroit où sont placés les yeux : devant, latéralement ou même à l’arrière.
Source : Journal of Anatomy, février 2010, DOI 10.1111/j.1469-7580.2010.01211.x
précédent   suivant