La géo-ingénierie sous l’œil de l'Académie
Utiliser des technologies à grande échelle pour contrecarrer le changement climatique, telle est l'ambition de la géo-ingénierie. Fin juin, l'Académie des sciences s'est penchée sur ces solutions très controversées, histoire d'évaluer leur validité scientifique et leur éventuel intérêt dans la lutte contre le réchauffement.
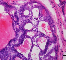
Guerre des nerfs contre les tumeurs
Au sein de certaines tumeurs se développent des fibres nerveuses qui pourraient participer à l’initiation et à la progression de la maladie à un stade très précoce. Si cette piste était confirmée, elle pourrait permettre de mieux prédire le devenir du processus de développement tumoral.
Vers une épidémiologie 2.0
La récolte de données par questionnaire papier est la clef de voûte du travail d’épidémiologiste. Mais la feuille et le stylo n’attirent plus beaucoup les jeunes générations. À l’avenir, applications pour smartphone ou bracelets électroniques devraient permettre de récolter plus aisément les données tant convoitées.
Mars 2020 : la quête d'une vie martienne se poursuit
Alors que le rover Curiosity poursuit sa mission à la surface de Mars, la Nasa a présenté son successeur : un robot qui aura pour tâche de retrouver des traces de vie martienne.
Le baptême infernal des satellites de Pluton
Kerberos et Styx, tels sont les nouveaux noms attribués aux deux derniers satellites de Pluton découverts à ce jour. Baptiser des objets célestes constitue l'aboutissement d'un long processus, encadré par des règles strictes... qui n'interdisent pas une certaine poésie.
Génériques, des médicaments comme les autres ?
L'affaire du Furosémide a réactivé la méfiance des patients et des médecins à l'égard des médicaments génériques. Depuis leur lancement, au milieu des années 1990, ces médicaments ont trouvé leur place sur le marché français, quoique de manière plus modeste que dans les autres pays européens. Les doutes sur leur parfaite efficacité thérapeutique ne sont, de fait, pas tous dissipés.
Électrique, la toile d'araignée
L'électrostatique jouerait un rôle important dans la capture des insectes volants par leurs prédateurs. C'est la découverte que des chercheurs américains de l'université de Berkeley, en Californie, ont faite par hasard en étudiant une toile d'araignée.
Un foie créé in vitro
Des chercheurs sont parvenus à faire germer un bourgeon de foie in vitro à partir de cellules souches IPS. Mieux : l'organe, implanté chez une souris, est devenu fonctionnel. Cet organe reconstitué ouvre des perspectives nouvelles à la médecine régénérative.
